概要 診療案内 入院案内 回復期リハ 透析 リハビリ 診療支援 人間ドック Topic


診 療 設 備

 検査は内容により予約が必要となる場合がございますので、外来受付またはお電話
 にてお問合せください。(TEL:0986−76−1050)

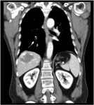
新機種CTスキャナ導入
  H25年9月から新しいCTスキャナが導入されました。
  新しいCTスキャナは従来の装置とくらべ、短時間で検査が
  終了します。さらに少ない被ばく線量で検査ができます。
  より質の高い検査を行い、患者様がより安心できる医療を
  目指してまいります。
   


内視鏡カメラ
  当機器はH18年12月に当院に導入の最新鋭消化管
  内視鏡検査機器です。最近、世間では経鼻内視鏡ス
  コープ(鼻から挿入するタイプ)が話題を呼んでいますが、
  検査精度の面でまだまだ発展途上にあり、従来型の経
  口内視鏡スコープに軍配が上がると確信いたしておりま
  す。今回導入機器には”NBI(Narrow band imaging)”
  という特殊装置が搭載されており癌を発見する精度が
  大幅に向上しております。

 ●内視鏡検査
  上部〜下部消化気管全て対応しております。ポリープ切除術も行っております。
  患者様に安心して検査を受けていただけるように心掛けております。

 ●乳房撮影専用X線診断装置
  乳房撮影装置は乳房の微細な変化を形態的変化として捉えることができ、
  触診不可能な乳癌でも発見率を向上させています。

 ●デジタルX線画像診断システム(FCR)
  コンピュータによる画像処理により軟部から骨部まで豊富な診断情報と安定した
  鮮明な画像が得られます。

 ●血液・生化学検査
  末血(シスメックスK-4500)、生化学自動分析装置(オリンパスAu600)を備え、
  末血、生化学の検査はその日のうちにデータ報告し、また至急の場合、30分
  以内でデータ報告ができる体制で望んでおります。

       
           多項目自動血球計数装置               生化学自動分析装置
             シスメックス(K-4500)                 オリンパス(Au600)

 ●生理検査・エコー
  動脈硬化の判定に威力を発揮する血圧脈波検査装置及び腹部、心臓、
  甲状腺、乳腺など各種臓器の検査に対応するエコー、心電図、肺機能
  などの検査機器を揃えています。

薬 剤 部

栄 養 室
 入院時、食事療養に関する特別管理の届出を行っております。
  特別管理による食事
   管理栄養士によって管理された食事が適時・適温で提供されます。